On February 17, Apellis announced that the FDA approved its complement C3 cyclic peptide inhibitor SYFOVRE™ (pegcetacoplan injection) for the treatment of geographic atrophy (GA) secondary to age-related macular degeneration (AMD), the first drug to be marketed for this indication.
About Geographic Atrophy (GA)
Age-related macular degeneration (AMD) is the leading cause of moderate to severe central vision loss in aging adults. The macula is the small area in the central part of the retina responsible for central vision. As AMD progresses, the loss of retinal cells and underlying blood vessels in the macula leads to significant thinning and/or atrophy of retinal tissue.
Geographic Atrophy (GA) is an advanced form of AMD. It is a progressive and irreversible disease caused by the growth of a lesion that destroys the retinal cells responsible for vision. Of the 397 patients who developed central geographic atrophy, the median time to foveal encroachment was only 2.5 years from diagnosis, according to a prospective AREDS study (N=3640). GA is the leading cause of blindness, affecting more than 5 million people worldwide. Prior to the approval of SYFOVRE, there were no drugs approved for the treatment of GA worldwide.

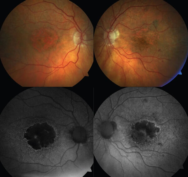
Figure 1. Bilateral GA in a 90-year-old not part of the FDA trials. Anna Bedwell, OD (clinical photos).
SYFOVRE™ (pegcetacoplan injection) - First Treatment for Geographic Atrophy
Pegcetacoplan is a targeted C3 inhibitor consisting of two 15‐amino acid cyclic peptides covalently conjugated to each end of a 40 kDa linear PEG polymer to increase its half‐life. Pegcetacoplan binds to C3 and inhibits its activation. It also binds to and prevents the activity of C3b, inhibiting the activity of convertases containing a C3b subunit, including C3 and C5 convertases associated with the alternative pathway, and C5 convertase associated with the classical pathway. In July 2022, the FDA granted priority review designation to pegcetacoplan for the treatment of geographic atrophy caused by age-related macular degeneration.
Biopharma PEG provides high-quality PEG raw materials and PEGylation reagents. These reagents are water soluble, monodisperse, biocompatible, and almost aggregation-free, making them ideal for bioconjugation or crosslinking of proteins, antibodies, peptides, oligonucleotides, or solid surfaces to other macromolecules, therapeutic compounds or other small molecules, and dyes.
This approval is based on the positive results of the DERBY and OAKS studies, two 24-month, randomized, double-blind, placebo-controlled phase III clinical trials comparing the efficacy and safety of monthly or every-other-month intravitreal injections of Pegcetacoplan with sham injections across a broad and representative population of patients with GA secondary to AMD.

Figure 2. Design of DERBYand OAKS studies, source: Apellis official website
Both monthly and every-other-month (EOM) SYFOVRE reduced the rate of GA lesion growth through 24 months compared to sham:
- OAKS: 22% monthly; 18% EOM
- DERBY: 18% monthly; 17% EOM
Figure 3. Pegcetacoplan showed clinically meaningful reductions in GA lesion growth from baseline to month 24. Source: Apellis official website
Pentencial Blockbuster Drug
According to Apellis, Syfovre is expected to be available in early March of this year, and the drug will be rolled out through specialty distributors and pharmacies across the U.S. at a price of $2,190 per vial before discounts. Pegcetacoplan could reach sales of around $2.6 billion by 2028 for treatment of GA, Evaluate Pharma has predicted.
Notably, in May 2021, pegcetacoplan (Empaveli) received its first FDA approval for the treatment of paroxysmal nocturnal hemoglobinuria (PNH), which generated $65 million in net sales in its first year on the market.
Challenges
In clinical trials, Syfovre slowed the growth of a marker of disease progression, but not the degradation of patients' vision. At the same time, the risk increases with the duration of treatment, and the abnormal blood vessel growth observed in clinical studies with Apellis can make vision loss more severe, with safety analyses showing that about 6 percent of patients who received monthly injections developed this condition after one year, increasing to 12 percent after two years. Although the incidence of eye inflammation or infection after treatment was low, it also showed an increasing trend.
Plus, competition could be close behind, with Iveric Bio's C5 agent Zimura hot on Syfovre's tail. Just in November 2022, IVERIC bio announced that its Zimura, a C5 protein inhibitor drug, has been granted Breakthrough Therapy Designation by the FDA for the treatment of GA. Recently, Zimura was granted priority review designation by the FDA, with a Prescription Drug User Fee Act (PDUFA) target date of August 19, 2023.
References:
https://investors.apellis.com/news-releases/news-release-details/fda-approves-syfovretm-pegcetacoplan-injection-first-and-only
https://investors.apellis.com/news-releases/news-release-details/apellis-announces-24-month-results-showing-increased-effects
https://www.fiercepharma.com/pharma/apellis-wins-fda-approval-first-geographic-atrophy-drug
Related articles
Geographic Atrophy Treatments Under Investigation
Complement Inhibitors as Therapeutic Agents
10 Potential Blockbuster Drug Approvals in 2023